About Infantident
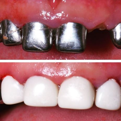
Infantident is the best dental clinic in Merida, Mexico. Get affordable pediatric dentistry and orthopedic treatments in Merida. Book now at PlacidWay.



Review Summary of Infantident
This Summary is AI-generated.
Medical Center Reviews
Infantident is the best dental clinic in Merida, Mexico. Get affordable pediatric dentistry and orthopedic treatments in Merida. Book now at PlacidWay.



This Summary is AI-generated.
Share this listing